MediaPETS¡Disfruta de las mejores Imagenes y Videos de Perros y Gatos en PETSmania!

Imágenes de Mascotas (Perros o Gatos) en PETSmania

Caniches Toy y Enano. En La Cadiera críamos pensando en tí cachorros con la mejor morfología y caracter que nacen en nuestra habitación y se crían en familia.



      Inicia Sesión o Regístrate para poder crear tus contenidos
VALDELESABEYES
gfmiyaresgmail.com.   Asturias - España

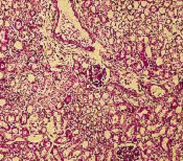
Patología neonatal. Aspecto histológico característico del riñón de un cachorro infectado por el herpesvirus canino (inclusiones herpéticas).

Patología neonatal. Aspecto histológico característico del riñón de un cachorro infectado por el herpesvirus canino (inclusiones herpéticas).

Patología neonatal. Aspecto histológico característico del riñón de un cachorro infectado por el herpesvirus canino (inclusiones herpéticas).

Compartir en FaceBook
 
  Inicia Sesión o Regístrate para poder valorar la Imagen


Cerrar

PETSmanía.es para los Maniacos de las Mascotas (Perros y Gatos)

Elige tu sexo

opciones de control
opciones de control

Nombre de Usuario


Apodo o Nombre para mostrar


Tu nombre


Tus apellidos


Direccion EMail


Selecciona Pais


Selecciona Región


Selecciona Localidad


Contraseña


Repetir contraseña


  

verificacion humano  

Cerrar

Inicia sesión