Los ultimos Posts, Noticias, Artículos, Imagenes, Videos y Servicios sobre Perros y Gatos
Savannah
Savannah Cat vs Bengal Cat - Understanding The Differences
The Savannah Cats and Bengal Cats may be late arrivals on the domestic cat scene, but they both bring distinct personalities and unique genetic traits to the table. The popularity of the breeds is growing testi ...Savannah Cat vs Bengal Cat - Understanding The Differences
Por : PETSmanía
Bernedoodle vs Goldendoodle Puppies and Full Grown Dogs
Watch bernedoodle vs goldendoodle puppies, full grown dogs and mini funny videos. Bernedoodle and goldendoodle puppies playing, full size dogs training videos, useful facts, goldendoodle mini make damages in ho ...Por : PETSmanía

27-08-2018
Shar Pei
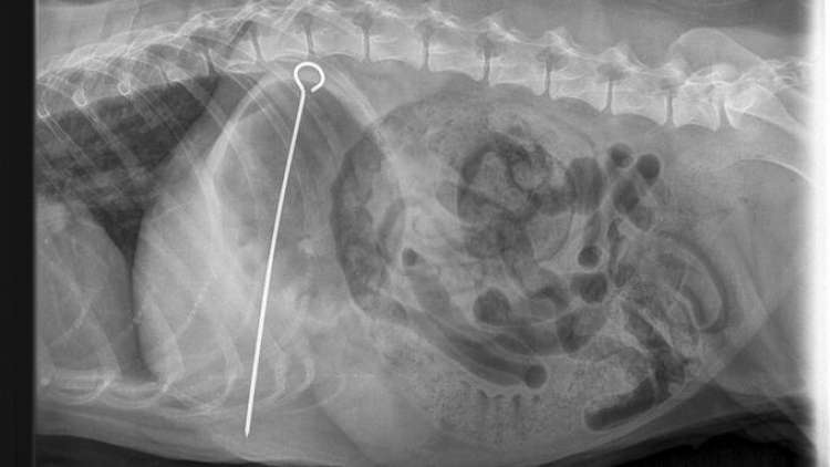
Veterinarios retiran un pincho de ocho pulgadas de un perro luego de tragárselo junto con un kebab
Seccion: Shar Pei
Veterinarios retiran un pincho de ocho pulgadas de un perro luego de tragárselo junto con un kebab
Los veterinarios han realizado una cirugía que salvó la vida de un perro que se tragó un pincho de metal de ocho pulgadas junto con un kebab de pollo. ...
Por : PETSMANIA

27-08-2018
Encuentran a un perro casi 3 semanas después del accidente que mató a su dueña
Seccion: Encuentran a un perro casi 3 semanas después del accidente que mató a su dueña
Bentley, un Goldendoodle, fue encontrado casi tres semanas después del accidente que mató a uno de sus dueños en el condado de Chafee el 7 de agosto. Los familiares habían estado bus ...
Por : PETSMANIA

27-08-2018
Labrador Retriever
El príncipe Harry y la duquesa Meghan adoptan un nuevo perro
Seccion: Labrador Retriever
El príncipe Harry y la duquesa Meghan adoptan un nuevo perro
En agosto, PEOPLE confirmó que Meghan Markle y el príncipe Harry adoptaron un nuevo perro de raza labrador. ...
Por : PETSMANIA
Maniobra de Heimlich en perros y gatos.
Hoy os traigo este vídeo, que es un poco más didáctico sobre la Maniobra de Heimlich en perros y gatos.
Espero que os sea de utilidad. Ya sabéis que hay más informaci&oacut ...Por : PETSmanía
RECETA para GATOS y PERROS de PESCADO. DIY comida casera para gatos y perros!!!
Receta casera para gatos y perros con pescado.
...Por : PETSmanía

26-08-2018
Dos perros despiertan a su familia después de incendio en su casa en Lawrenceville
Seccion: Dos perros despiertan a su familia después de incendio en su casa en Lawrenceville
Dos perros despertaron a una familia de seis personas con sus ladridos, después que se incendiara su casa en la zona no incorporada de Lawrenceville, ciudad en Georgia (Estados Unidos) la madrugada ...
Por : PETSMANIA

26-08-2018
Collares de choque eléctrico para perros y gatos serán prohibidos en Gran Bretaña
Seccion: Collares de choque eléctrico para perros y gatos serán prohibidos en Gran Bretaña
Se prohibirá la venta de collares eléctricos para perros y gatos en Gran Bretaña, luego de una campaña de grupos defensores de los derechos de los animales. ...
Por : PETSMANIA

26-08-2018
Gato invade la pista de atletismo en Yakarta 2018
Seccion: Gato invade la pista de atletismo en Yakarta 2018
Un gato invadió la pista de atletismo del estadio principal Gelora Bung Karno (GBK) durante el intervalo de competencias femeninas de clasificación de los 100m de los XVIII Juegos Asiáticos ...
Por : PETSMANIA

25-08-2018
Rescatan a cinco perros de casa en Sevilla tras quejas vecinales por sus condiciones higiénico-sanitarias
Seccion: Rescatan a cinco perros de casa en Sevilla tras quejas vecinales por sus condiciones higiénico-sanitarias
Cinco perros de un domicilio del Distrito Sur han sido intervenidos por la Policía Local de Sevilla, cuerpo adscrito a la Delegación de Seguridad, Movilidad y Fiestas Mayores del Ayuntamiento, y e ...
Por : PETSMANIA



























ceyt.es


